Diamond smile
Expected Treatment Completion Time:
- Within 5 to 6 months, divided as follows:
- 3 visits within 10 days:
- First and Second Visits: Taking measurements and implant placement in both jaws over two consecutive days.
- Third Visit: Receiving temporary restorations.
- After 3 months: One visit to check on the implants and shape the gums.
- After 15 days (from the 3-month checkup): 4 visits within 10 days to prepare the restorations for both jaws.
- 3 visits within 10 days:
Service Details:
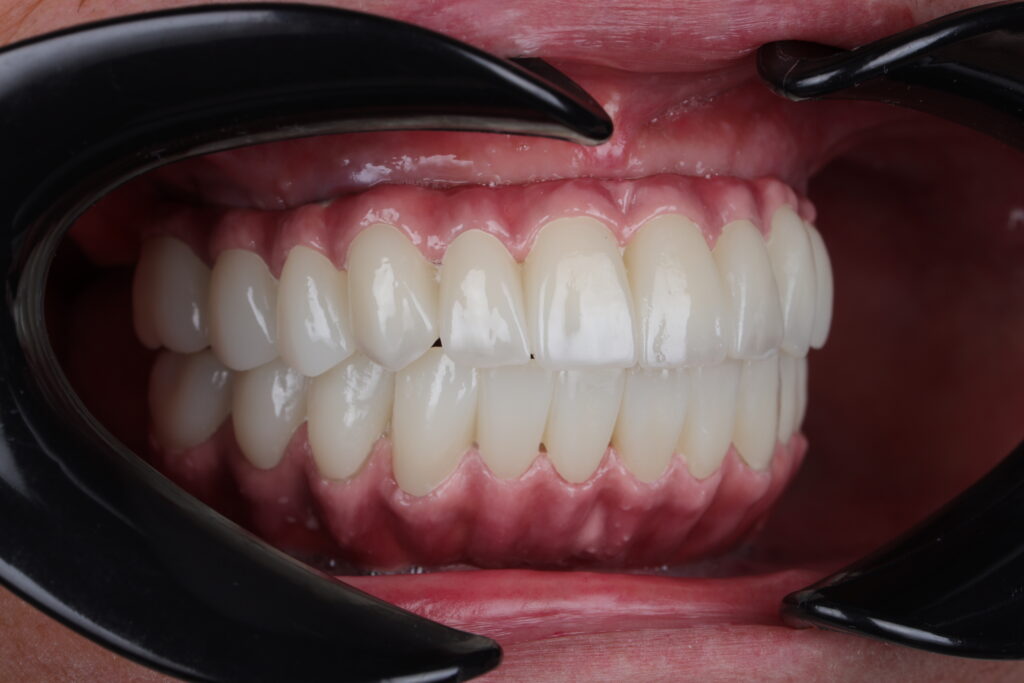
- Teeth Restoration: Restoration of 22 teeth with 75% of natural bite force, supported by 12 high-quality implants, with permanently fixed restorations on the implants that cannot be removed.
- Aesthetic Appearance: Teeth are restored with metal implants covered with porcelain, 70% similar to natural teeth.
- Lifespan: The permanent dentures last 70% of the lifespan of natural teeth and are less durable than natural teeth. In case of gum inflammation, a complete replacement of the dentures may be required.
Get ready to change your life with Diamond Smile, a radiant smile that boosts your self-confidence and restores the beauty of your natural smile. Book your consultation now.





